【人気ダウンロード!】 hepatomegaly x ray 281835-Hepatomegaly on x ray abdomen
117 Xray Fixed pointed dripstone missing texture Recent Files View AllMultiple myeloma, a clonal plasma cell disorder, commonly affects adults above 50 years age and accounts for about 10% of all hematological malignancies Anemia, bone pains, renal failure are the most common symptoms at presentation Though extra Enlarged liver refers to swelling of the liver beyond its normal size Hepatomegaly is another word to describe this problem If both the liver and spleen are enlarged, it is called hepatosplenomegaly
Imaging Manifestations Of Kaposi Sarcoma Radiographics
Hepatomegaly on x ray abdomen
Hepatomegaly on x ray abdomen- Xray Analisis fungsi hati, termasuk ujian untuk pembekuan darah Dalam beberapa kes, untuk memperjelaskan proses dalam hati, melakukan biopsi Analisis ini dilakukan menggunakan laparoskopi Semua kaedah diagnostik di atas membolehkan anda memahami keadaan dan menentukan dengan tepat penyebab hepatomegali Tandatanda hepatomegaliGyproc XRay Protection är ett 100% blyfritt röntgenskyddssystem som innehåller specialdesignade gipsskivor som produceras med bariumsulfat När det används med Gypfill XRay Protection handspackel, som även det innehåller bariumsulfat, skapar Gyproc XRay Protection ett system för väggar i vården där röntgenskydd behövs



Referred Pain Physical Exam Stanford Medicine 25 Stanford Medicine
Hepatomegaly in dogs is typically recognized during presentation for nonspecific signs such as weakness, lethargy and inappetence These patients are sometimes jaundiced Causes infectious and toxic causes are typically associated with younger animals while neoplastic and cardiac causes are seen more frequently in older dogsSpleen left upper quadrant;1 N Y State J Med 1968 Feb 1;68(3) Fever, constitutional symptoms, hepatosplenomegaly, and abnormal chest xray rilm Bruno MS, Ober WB
Alkaline Phosphatase Increased & Hepatomegaly & XRay Abnormal Symptom Checker Possible causes include Congestive Heart Failure Check the full list of possible causes and conditions now!Cardiomegaly & Exertionaldyspnea & Hepatomegaly & Xrayabnormal Symptom Checker Possible causes include Cardiomyopathy Check the full list of possible causes and conditions now!Gyproc XRay Protection är ett system för att bygga lätta innerväggar med röntgenskydd Systemet består av 600 mm breda strålskyddsskivor på stålprofiler, som till exempel består av Gyproc XRreglar, monterade på c 450 mm och Gyproc ACOUnomic kantprofiler Skivskarvarna i varje skivlag av XRay Protectionröntgenskydds
Xray Analysis of liver function, including tests for blood clotting In some cases, to clarify the processes in the liver, conduct a biopsy This analysis is done using laparoscopy All of the above diagnostic methods allow you to understand the situation and accurately determine the cause of hepatomegaly Ultrasound signs of hepatomegaly Hepatomegaly is a term used to describe a liver that is enlarged beyond its normal dimensions, and ultrasound is often a front line investigation in the suspicion of hepatomegaly This study sought to develop a reference range for the size of the normal liver using a simple, reliable and valid measurement techniqueBecause Hepatomegaly could be a symptom of many different medical conditions the treatment that is used will depend on what the underlying cause is Because one of the main causes is excessive alcohol consumption a person will need to refrain from consuming any alcohol



Imaging Manifestations Of Kaposi Sarcoma Radiographics



Abdominal Imaging Pathologies And Protocols Jason Elliott Session
Xray of your abdominal area; Xray hati dan saluran empedu Diagnosa hati dan kantong empedu Biopsi dipanggang Biopsi tusukan dipanggang Perbedaan diagnosa Diagnosis banding hepatomegali diperlukan untuk menentukan secara akurat penyebab kerusakan hati dan memisahkannya dari penyakit lain dengan gejala yang samaHemokromatos & Hepatomegali & Xrayabnormal Symptomkoll Möjliga orsaker inkluderar Hemokromatos Kolla hela listan över möjliga orsaker och tillstånd nu!



Dog Hepatomegaly Long Beach Animal Hospital



Epos Trade
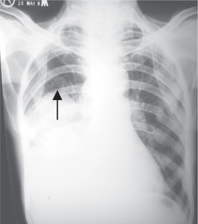
Hepatomegaly, also known as an enlarged liver, means your liver is swollen beyond its usual size Learn more about the causes, symptoms, riskEnlarged liver Xray of the chest of a 55 year old patient with an enlarged liver (hepatomegaly) The liver itself cannot be seen, but the disorder has been revealed by the raised diaphragm (white, lower left) An enlarged liver is usually a symptom of an underlying cause, such as cancer, high blood pressure (hypertension) or infectionSafeline Xrays guide är en referens för alla som är involverade i säkerhetshantering av livsmedel och läkemedel I guiden förklaras hur tillverkare kan utveckla ett effektivt program för röntgeninspektion för att hitta föroreningar och erbjuda konstant kvalitet och produktpresentation



Plain Abdominal Film Revealed Increased Opacity Over Th Open I



The Liver And Spleen Veterian Key
Hepatomegaly Hepatomegaly occurs in 40% to 50% of patients, with abnormal liver function tests (LFTs) in up to 25% Hepatomegaly with or without elevated LFTs may be secondary to multiple causes, which include drug side effect, active SLE, infection, fatty infiltration, hepatic vein or artery thrombosis, and congestion secondary to right heartHepatomegaly is inferred when there is extension of the right lobe inferior to the lower pole of the right kidney;AWS XRay helps developers analyze and debug production, distributed applications, such as those built using a microservices architecture With XRay, you can understand how your application and its underlying services are performing to identify and troubleshoot the root cause of performance issues and errors



The Liver And Spleen Veterian Key



Riedel Fight Song A Case Report Of Riedel Lobe Presumed To Be Hepatomegaly Semantic Scholar
Familial hemophagocytic lymphohistiocytosis2 (FHL2) is an autosomal recessive disorder of immune dysregulation with onset in infancy or early childhood It is characterized clinically by fever, edema, hepatosplenomegaly, and liver dysfunction Neurologic impairment, seizures, and ataxia are frequentThe XRay Ultimate texture pack is an incredible help when hunting for diamonds or other raw materials Of course, other underground items such as mines, dungeons or entire cave systems can be found in seconds Quasi a mod in form of a resource pack However, on some Minecraft servers you can be banned for it, so always watch out!Talk to our Chatbot to narrow down your search



A Man With Dyspnea And Hepatomegaly Gastroenterology



Animal Liver Disease Long Beach Animal Hospital
From the case Hepatosplenomegaly Xray Loading Stack 0 images remaining Xray Scroll Stack Scroll Stack Frontal The inferior aspects of both the liver and spleen are well illustrated and lie at the level of the iliac crest The heart size is considered too large when the CTR is > 50% on a PA chest xray A CTR of > 50% has a sensitivity of 50% for CHF and a specificity of 7580% An increase in left ventricular volume of at least 66% is necessary before it is noticeable on a chest xray On the left a patient with CHFDistended Neck Veins & Hepatomegaly & XRay Abnormal Symptom Checker Possible causes include Cor Pulmonale Check the full list of possible causes and conditions now!



Liver Metastases Imaging Practice Essentials Radiography Computed Tomography



A Chest X Ray Hepatomegaly With Dilated Small Bowel Loops And Few Download Scientific Diagram
Liver disease Hepatomegaly is a term used to describe a liver that is enlarged beyond its normal dimensions, and ultrasound is often a front line investigation in the suspicion of hepatomegaly This study sought to develop a reference range for the size of the normal liver using a simple, reliable and valid measurement techniqueTalk to our Chatbot to narrow down your searchGallop Rhythm & Hepatomegaly & XRay Abnormal Symptom Checker Possible causes include Congestive Heart Failure Check the full list of possible causes and conditions now!



1



I Radiology Section Abdominal Key
Extends to the hemidiaphragm; Although ultrasound and CT are more informative means of imaging the solid organs of the abdomen, occasionally you will see evidence of enlarged organs on an abdominal Xray Hepatomegaly Hover on/off image to show/hide findingsTalk to our Chatbot to narrow down your search



Right Sided Hepatomegaly Or Pleural Effusion Youtube



Enlarged Liver In Straight X Ray Of Abdomen Download Scientific Diagram
Tender Hepatomegaly Causes Tender hepatomegaly is also called large tender liver, and it refers to a condition in which the liver can be palpated and feels tender to the touchThe most common tender hepatomegaly causes include Hepatitis A This is an infectious form of hepatitis caused by the Hepatitis A virus Hepatitis is a group of fatal diseases which cause thePrata med vår chatbot för att begränsa din sökning Hepatomegaly is often a sign that the tissue within the liver isn't functioning properly Taking certain medications, such as amiodarone and statins, may also cause liver injury



Enlarged Liver X Ray Stock Image M170 0433 Science Photo Library



Hepatomegaly Radiology Reference Article Radiopaedia Org
Hepatomegaly " Hepatomegaly refers to an increase in size or enlargement of the liver Pathology Etiology Hepatomegaly can result from a vast range of pathol" Riedel lobe "Autopsy determination of hepatomegaly was made using hepatic weight, patient's total body weight, and patient age correlated with pertinent clinical history Results of the autopsy/ultrasound correlation demonstrated that those livers measuring 130 cm or less in the midhepatic line (both supine and left lateral decubitus positions) were normal in 93% of the casesTalk to our Chatbot to narrow down your search



Hepatosplenomegaly X Ray Radiology Case Radiopaedia Org



Referred Pain Physical Exam Stanford Medicine 25 Stanford Medicine
Hepatomegaly & Transient Hepatomegaly & XRay Abnormal Symptom Checker Possible causes include Hepatopathy Check the full list of possible causes and conditions now!Talk to our Chatbot to narrow down your searchAssessment of liver size is commonly made on ultrasound or CT, although gross hepatomegaly may be apparent on abdominal radiograph For the adult liver midclavicular line averages cm in craniocaudal length 2 a liver that is longer than cm in the midclavicular line (MCL) is considered enlarged



Animal Liver Disease Long Beach Animal Hospital



Chilaiditi Syndrome Wikipedia
Psoas muscle symmetrical triangles either side of the lumbar spine Hepatomegaly can represent intrinsic liver disease or may be the presenting physical finding of a generalized disorder Early diagnosis and treatment of children who have liver disease is important because specific treatments are available for some diseases that can prevent disease progression or hepatic failureHepatomegaly is another word to describe this problem If both the liver and spleen are enlarged, it is called hepatosplenomegaly Abdominal xray;



The Radiology Assistant Heart Failure



Xray Liver Hepatomegaly Long Beach Animal Hospital
Plain xrays are not usually useful for diagnosis of hepatobiliary disorders They are insensitive for gallstones unless the gallstones are calcified and large Plain xrays can detect a calcified (porcelain) gallbladder Rarely, in gravely ill patients, xrays show air in the biliary tree, which suggests emphysematous cholangitisKeeway XRay Visar 160 av 168 objekt Best sellers Relevans Namn, A till Ö Namn, Ö till A Pris, lågt till högt Pris, högt till lågt 60Title Microsoft PowerPoint PedsCases_Approach to Pediatric Abdominal XRays_FINAL Author nikit Created Date 5/2/17 PM



The Liver And Spleen Veterian Key



Ultrasound Of Riedel Lobe Celus
Hepatomegaly An Approach to Differential Diagnosis In addition to providing pediatricians with a working approach to the evaluation of patients presenting with an enlarged liver, mechanisms of hepatic enlargement are reviewed as a background for further clinical and laboratory studies needed to establish a diagnosis Supported in part fromAbdominal ultrasound (may be done to confirm the condition if the provider thinks your liver feels enlarged during a physical exam) Hepatomegaly (OSCE Guide) Hepatomegaly simply means enlargement of the liver Mean Liver size is 105 cm for an adult male and 7 cm for an adult female Liver size depends on sex, age, body size Hepatomegaly is considered only when the liver is enlarged at least 3cm from its normal size Sometimes the liver is "pushed down" by the



Casestacks Com Radiology Case Case 24



Enlarged Liver Photograph By Zephyr Science Photo Library
Hepatomegaly is the condition of having an enlarged liver It is a nonspecific medical sign having many causes, which can broadly be broken down into infection, hepatic tumours, or metabolic disorder Often, hepatomegaly will present as an abdominal mass Depending on the cause, it may sometimes present along with jaundiceHepatomegaly (abdominal xray) Case contributed by Dr Jeremy Jones Diagnosis probable Diagnosis probable From the case Hepatomegaly (abdominal xray) Xray Loading Stack 0 images remainingSplenomegaly is a subjective radiograph finding as there are no reliable objective criteria;



Hepatomegaly Radiology Reference Article Radiopaedia Org



Hepatomegaly Wikipedia



What Is Hepatomegaly



Animal Liver Disease Long Beach Animal Hospital



The Radiology Assistant Heart Failure



Epos Trade



Jaypeedigital Ebook Reader



Hepatomegaly Due To Metastases Radiology At St Vincent S University Hospital



Hepatomegaly Radiology Reference Article Radiopaedia Org



Hepatosplenomegaly Radiology Case Radiopaedia Org



Middle Aged Woman With Asymptomatic Hepatomegaly Consultant360



Hepatomegaly In Dogs Vetlexicon Canis From Vetlexicon Definitive Veterinary Intelligence



Hepatomegaly Radiology Reference Article Radiopaedia Org



Sarcoidosis Wikipedia



Hepatomegaly Radiology Reference Article Radiopaedia Org



What Is The Differential Diagnosis Of Hepatomegaly Pediatriceducation Org



Www Ajronline Org Doi Pdf 10 2214 Ajr



Two Common Pitfalls Of Abdominal Radiographs In Dogs And Cats Medvet



Imaging Of The Liver And Pancreas Vet Focus



Hepatomegaly Osce Guide Enlarged Liver Rer Medapps



Hepatomegaly Images Stock Photos Vectors Shutterstock



Webmedcentral Com Bilateral Chest X Ray Shadowing And Bilateral Leg Lesions A Case Of Pulmonary Kaposi Sarcoma



Case 5 Abdominal Distention Poor Growth And Motor Delay In A 1 Year Old Girl American Academy Of Pediatrics



Systemic Lupus Erythematosus X Ray Wikidoc



A Case Of New Murmur And Hepatomegaly In A Child With Respiratory Insufficiency American College Of Cardiology



Systemic Lupus Erythematosus X Ray Wikidoc



Www Ajronline Org Doi Pdf 10 2214 Ajr



The Liver Part 1 Normal Appearance Imv Imaging



Imaging Of The Liver And Pancreas Vet Focus



X Ray Abdomen



The Abdomen Veterian Key



Hepatomegaly Information Mount Sinai New York



A 21 Year Old Woman With Hepatomegaly Semantic Scholar



A Patient With Anemia Lymphadenopathy And Hepatosplenomegaly Pulmonology



Alshafei



Plain X Ray Finding Of Hepatomegaly Download Scientific Diagram



Hepatomegaly Abdominal X Ray Radiology Case Radiopaedia Org



Severe Liver Dysfunction In An Infant With Cystic Fibrosis Masquerading As Metabolic Liver Disease Srikanth K P Panigrahi I Thapa Br Vaiphei K Indian J Pathol Microbiol



Figure 1 From Liver Lobe Torsion In Three Adult Rabbits Semantic Scholar



Imaging Of Pregnancy Related Vascular Complications Radiographics



Abdominal Radiograph Pearls And Pitfalls For The Emergency Department Radiologist A Pictorial Review Springerlink



Liver Hepatomegaly Cushing S Disease Radiograph Lateral Illustration Dogs Vetlexicon Canis From Vetlexicon Definitive Veterinary Intelligence



The Liver And Spleen Veterian Key



Imaging Of The Liver And Pancreas Vet Focus



Miliary Tuberculosis Wikipedia



Simple Evaluation Of Liver Size On Erect Abdominal Plain Radiography Clinical Radiology



Hepatomegaly Causes Symptoms Treatments



Epos C 3380



Liver Abscess In A Term Baby A Case Report And Review Of Literature Atlantis Press



Alshafei



1



Hepatomegaly Information Mount Sinai New York



Hepatomegaly Information Mount Sinai New York



Enlarged Liver X Ray Stock Image M170 0434 Science Photo Library



Liver Hepatomegaly Radiograph Lateral Illustration Cats Vetlexicon Felis From Vetlexicon Definitive Veterinary Intelligence



Animal Liver Disease Long Beach Animal Hospital



X Ray Chest And Abdomen Showing A Mild Infec Ve Changes In Right Mid Download Scientific Diagram



Www Ajronline Org Doi Pdf 10 2214 Ajr



1



Animal Liver Disease Long Beach Animal Hospital



Treating The Unexpected Metastatic Hepatomegaly Causing Severe Superior Vena Cava Obstruction Review Of The Literature Clinical Breast Cancer



Lysosomal Storage Diseases Springerlink



Radiographic Interpretation



Abdominal X Ray On Admission A And After 10 Days Of Insulin Treatment Download Scientific Diagram



Primary Myelofibrosis Spectrum Of Imaging Features And Disease Related Complications Insights Into Imaging Full Text



Epos Trade



Systemic Lupus Erythematosus X Ray Wikidoc



Diagnostic Imaging Of Canine Hepatobiliary Affections A Review



1



Hepatomegaly In Dogs Vetlexicon Canis From Vetlexicon Definitive Veterinary Intelligence



Diagnostic Imaging Of Canine Hepatobiliary Affections A Review



Abdominal Pain s Differential Diagnosis Of



Pin On Rentgeny



Radiographic Interpretation



Enlarged Liver Riedel Lobe Radiology Case Radiopaedia Org



Parasitic Infections Of The Lung A Guide For The Respiratory Physician Thorax

コメント
コメントを投稿